🌸ご挨拶(2026年)🌸

いつも三宅歯科医院を受診して頂き有難うございます。
三宅歯科医院が、旧の歯科医院からこの場所に移転してから今年で23年目になりました。

これからも、症状や痛みの程度だけでなく、患者様のご希望をしっかりとお聞きした後、当医院からは最善の治療を説明し、納得して頂いた後に最良の治療をさせて頂きます。
今まで診察させて頂く中で、小児の虫歯はかなり減少しました。
それに反して、あごが小さく未発達なお子さんがかなり増えていると思います。

当院では、0歳からのおうち矯正指導、

4歳からはマウスピース矯正をお勧めしています。


(乳歯列完成期)3歳頃~(永久歯萌出時期)6歳までの3年間で、しっかりとご家庭であごの訓練をして頂けるように、毎日の食事のアドバイスや、おうち矯正の説明と指導を心がけています。
6,7歳頃からの小児矯正(1期治療)にも力を入れておりますので、お子様の歯について分からない事がありましたら、気軽にご相談ください。

装置を装着して6ヶ月で約5~6mm広がります。とにかく、この時期は見た目よりも歯の並ぶスペースを確保するために、装置と、装置を外して噛むトレーニングを併用して行ないます。
この装置の特徴は
1)歯の移動の痛みがかなり少ない
2)装置を自分で外せるので
美味しく食事が出来る
3)歯磨きがしやすく、虫歯になりにくい
4)しっかりと嚙むトレーニングができる

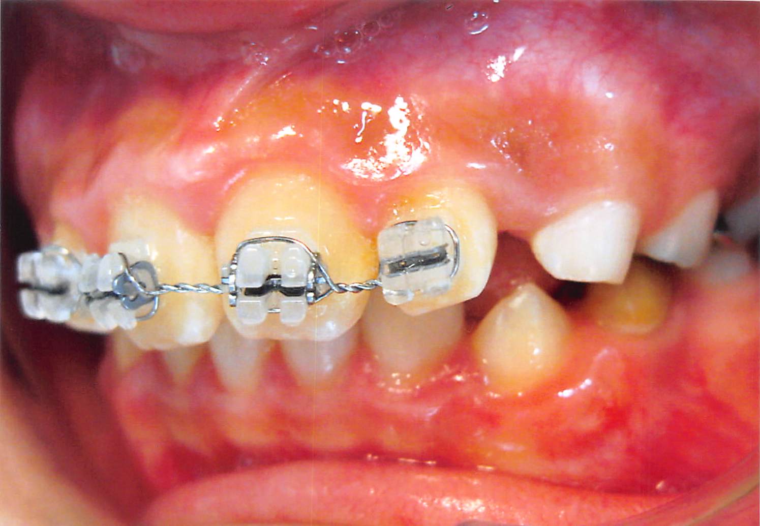
そして、徐々にスペースが出来てくれば、今度はワイヤー・ブラケットを4前歯に装着してスペースを閉じて、乳犬歯よりも大きな犬歯が萌出するまでに備えます。
これでもう、3番目の犬歯が並ぶスペースが出来ました。
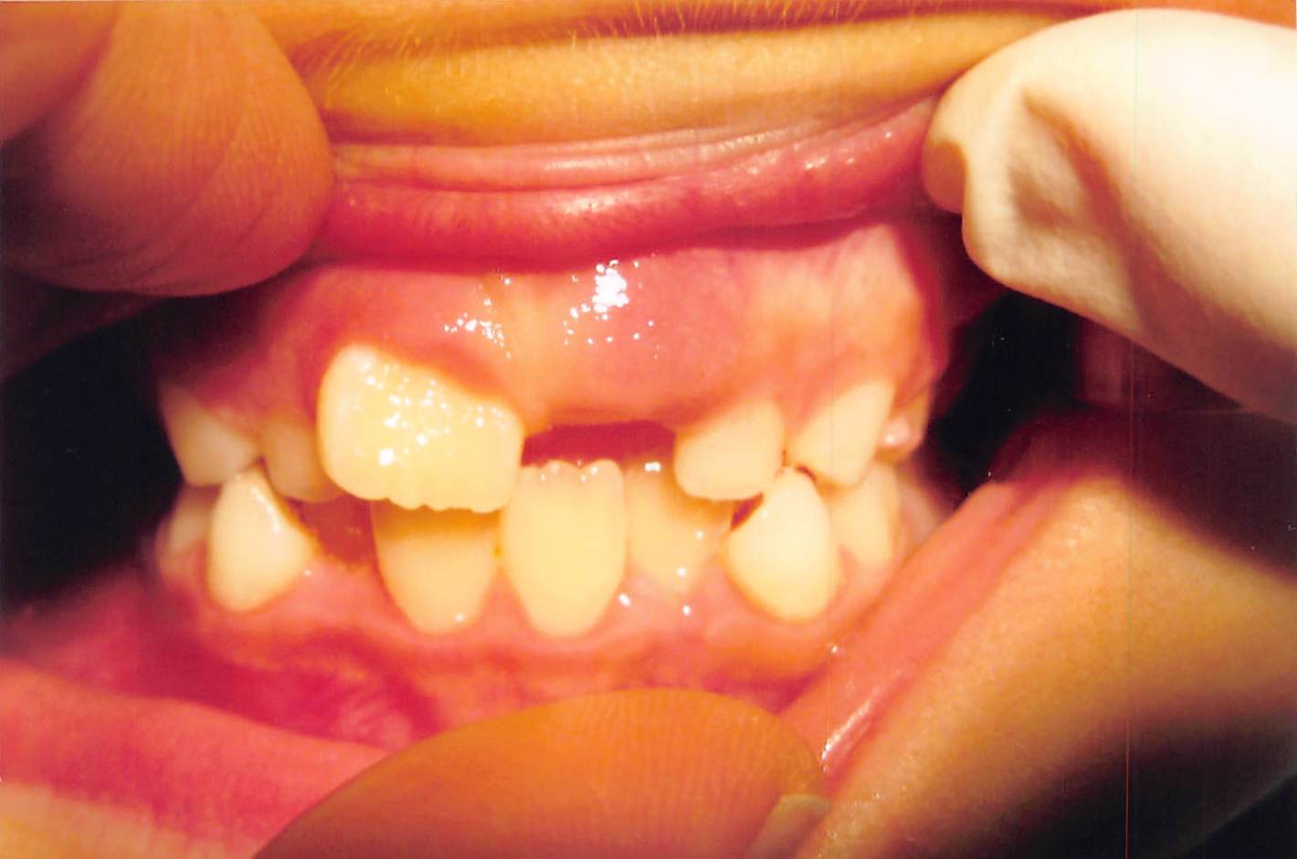
乳犬歯が萌出するのは、だいたい9歳~10歳頃です。
2番目の上に3番目の犬歯が重なるように萌出しています。1期治療(7歳~9歳半まで)が、いかに大切かが分かります。
また、当医院は三豊・観音寺市の歯科医院の中で、初めてインビザライン矯正をスタート致しました。

卒業してからも、大阪や東京、母校の昭和大学病院で、良いと思った勉強会には積極的に参加し、現在も学び続けております。
2015年から約10年間、インビザライン矯正を行っておりますが、ほとんどの方が抜かずに矯正出来ております。


他医院で矯正前に4本歯を抜いてからワイヤー矯正を勧められ、「抜きたくない!」ということで、当院を受診されましたが、インビザラインで抜かずに約1年で治療できました。

あまり出っ歯でない方が4本歯を抜いて後方に歯を移動すると、お顔のほうれい線が年齢を重ねると目立つようになるかもしれません。そして、舌のスペースが通常よりも、狭められてしまうことになります。

インビザライン矯正が非抜歯で行える理由は、側方拡大、前方移動、後方移動、上下的移動が可能であるからです。

ワイヤー矯正は
上顎両側小臼歯を2本抜歯すると、小臼歯の幅径は1本約7mmですから、×2本で=約14mmのスペースが歯を抜いてしまえば、簡単に出来てしまいます。
果たして、全ての患者さんの歯列不正の症例で、14mmのスペースが本当に必要?でしょうか?
軽度のスペース不足症例もあれば、中等度~重度のスペース不足症例があるはずです。
◎インビザライン矯正は、「データを基にこれを数値化」して治療計画を立案します。
そして、もし足りないスペースが結果3mmなら、歯間を6カ所0.5mm削合(0.5×6=3mm)します。
歯を削合することはあまり良いことではありませんが、
歯を出来るだけ抜かないことが最善であると私は考えています。

当医院の目指す矯正治療は・・・・
幼児期の間に、「早期にあごを成長させ、歯を1本も抜かない小児の予防矯正歯科です!」

80歳で20本の残そう!8020運動!が盛んになり、自分の歯を冷凍保存して、抜けた歯を再植する時代であるにもかかわらず、
幼稚園に通っている時期に、小学校の就学前の間に、
おうち矯正(しっかり噛むトレーニング)をしないのでしょうか?
矯正する時に4本も歯を抜くようになるまで何もしないのでしょうか・・・。
顕微鏡で見ないと分からないレベルの虫歯を、「仕上げ磨きの時に見つけました!」( `ー´)ノ
という素晴らしい観察力のあるお母様が沢山いらっしゃるのですが、
「うちの子は大人の歯はちゃんと並びますか?」
「どうすればあごは成長しますか?」
という質問や相談はまだまだ少ないです。

興味のある方には、本も数冊貸出しをしております。
受付スタッフにお声かけください。
永久歯は
下の前歯 5歳半~6歳
上顎前歯 7歳頃から永久歯は萌出
ここからは矯正装置(1期治療)が必要になり、この年齢からしっかり噛み始めても、もう間に合いません。
重度のスペース不足症例によっては、やはり4本抜歯やワイヤー矯正の方が適応である症例もあります。
宜しければ矯正相談も行っておりますので、気軽にご相談ください。

また最近では、保険診療で白い歯(CAD/CAM)が入れられる様になりました。
しかし、強度や耐久性を考えますと、
金属(パラジウム/チタン)や自費診療の白い歯(ジルコニア/セラミック/e‐max)などが断然優れていますし、
自費の白い歯では、個人の歯の色や透明性のある自然な白さを再現できますので、
模型などで説明後に、見た目より値段なのか、高くても良いものがいいのかをお伝えください。
また、歯のホワイトニングや歯質強化も行っています。
一度お試し下さい。

40歳以降の年齢の方は、歯周病に罹患しやすい傾向にあり、違和感や咬合痛を訴えて来院されます。出来れば若いうちから、定期検診を兼ねて、2~3ヶ月に1度は歯のクリーニングにお越しください。


重度の歯周病の方には、マウスピースでご自宅でのケアもお勧めしています。

うじうじする鈍痛の違和感があるのに歯科医院に行けない時に、マウスピースがあれば、殺菌作用のある「ジェルを注入して装着」

また、歯ぎしり用・スポーツ用マウスピースは、1日でお渡し可能です。

野球部(高校生)の患者さんです。学校で使用するので、シンプルな白を希望されました。
保険の義歯や自費の義歯も当院は、得意としております。
当院は昔から、50代から90代の中高年の方々に多く通院して頂いております。
義歯の破折修理だけなら、即日に修理可能です。
![]()


スマイルデンチャーは保険の義歯に比べて非常に薄くて軽く、金属のバネが無いので、見た目に美しく、特に女性の方に好評です(*´▽`*)

この義歯は、数年前に来院された患者さんが使用していたものです。
歯医者にはずっと受診されず、痛い部分はご自身で、工具ややすりを使って削り、最近になって義歯が破折したのでアロンアルフアでくっつけて使っていたそうです。
昭和~平成~令和・・・・年代物の義歯ですね”(-“”-)”
定期的な義歯の調整をお勧めします。
わたしは、平成15年に徳島県からこちらの三豊市にご縁があり、嫁いできました。

知り合いは周りに誰も居ない状態でしたが、患者様がとても好意的で優しく、三豊に詳しくなかった私でしたが、患者様からいろいろな事を教えて頂きました。
これからも、いろいろな年代の患者様と楽しく会話しながら、古い考えに捕らわれず、それぞれの時代に合った対応を模索し、一緒に考えて行きたいと思っています。
これからもどうぞ宜しくお願い致します<m(__)m>
*****突然の急な歯の痛み*****

急性炎症を起こした歯の痛みは強烈なもので、時に痛み止めが全く効かない場合があります。そのような場合は、事前の予約がない場合でも、予約の方が優先ですが、可能な限り対応しています。ご連絡ください(^-^)
☎(0875)63-8500
« 前の記事


















